Dr Philippe DUBUS - Espace de Soins Dentaires
Implants dentaires - Parodontologie - Esthétique près d'Elbeuf
ACCUEIL
LE CABINET
PLAN D'ACCÈS
URGENCES
FICHES CONSEILS
QUESTIONNAIRE
QUESTIONNAIRE PRE-RDV
+33 2 35 87 54 22
16, la Pommeraie, 27370 La Saussaye
Dr Philippe DUBUS - Espace de Soins Dentaires
Implants dentaires - Parodontologie - Esthétique près d'Elbeuf
ACCUEIL
LE CABINET
PLAN D'ACCÈS
URGENCES
FICHES CONSEILS
QUESTIONNAIRE
QUESTIONNAIRE PRE-RDV
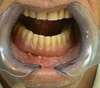
Les boutons-pressions sur implants
Fiches conseils
Maxillaire supérieur :
Partager
Twitter
Partager
Partager
Envoyer
Copier
Dr Philippe DUBUS - Espace de Soins Dentaires
16, la Pommeraie
27370
La Saussaye
+33 2 35 87 54 22
Politique de confidentialité et charte cookie
Mentions légales
Conditions Générales Utilisation
Charte déontologique
Ordre national
Annuaires chirurgiens dentistes
Création par
Connexion